美しい歯を手に入れたい方へ
近年、ただ虫歯の治療をするだけでなく「美しく、白い歯」への関心が高まりつつあります。
そのようなご要望に対して様々な治療をおこなっております。
当院では見た目の美しさだけでなく、歯ならび、かみ合わせ、強度など本来の「咬む」というお口の機能と永続性を重視した治療を行っています。
セラミック
お子さまの歯ならび、気になりませんか?
金属をまったく使わないセラミックのかぶせものです。
歯茎がやせて黒い線がでないだけでなく、自分の歯に近い色調を再現することも可能です。
ホワイトニング
ホワイトニング(ブリーチング)とは、歯を削らずに薬剤で歯を白くする施術をことです。
施術には、自宅で行うホームホワイトニングと当院で行うオフィスホワイトニングがございます。
ホームホワイトニングは、専用のマウスピースとホワイトニングジェルを使い、ご自宅で好きな時間にホワイトニングしていただけます。
オフィスホワイトニングは、当院で薬剤を塗り、特殊な光をあてて歯を白くします。
その日のうちに白さを実感できます。
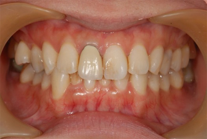
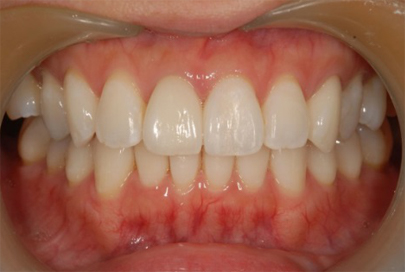
症例
施術内容
- 歯のクリーニング
-
初期治療
・虫歯の治療(ホワイトニング前にコンポジットレジンにて仮修復)
・根管治療(セラミックをかぶせるところ) - 前歯の矯正
- 歯のホワイトニング
- ダイレクトボンディング(ホワイトニング後)
- セラミック(かぶせ物)
- 保定
